University of the Philippines, Diliman

Department of Computer Science


CS 180: Introduction to Artificial Intelligence

Applications of Artificial Intelligence

Applications of Artificial Intelligence

Search Engines

RankBrain is a component of Google’s core algorithm which uses machine learning (the ability of machines to teach themselves from data inputs) to determine the most relevant results to search engine queries

Applications of Artificial Intelligence

Automated driving

The new Audi A8: future of the luxury class
https://www.audi-mediacenter.com/en/press-releases/the-new-audi-a8-future-of-the-luxury-class-9124

Applications of Artificial Intelligence

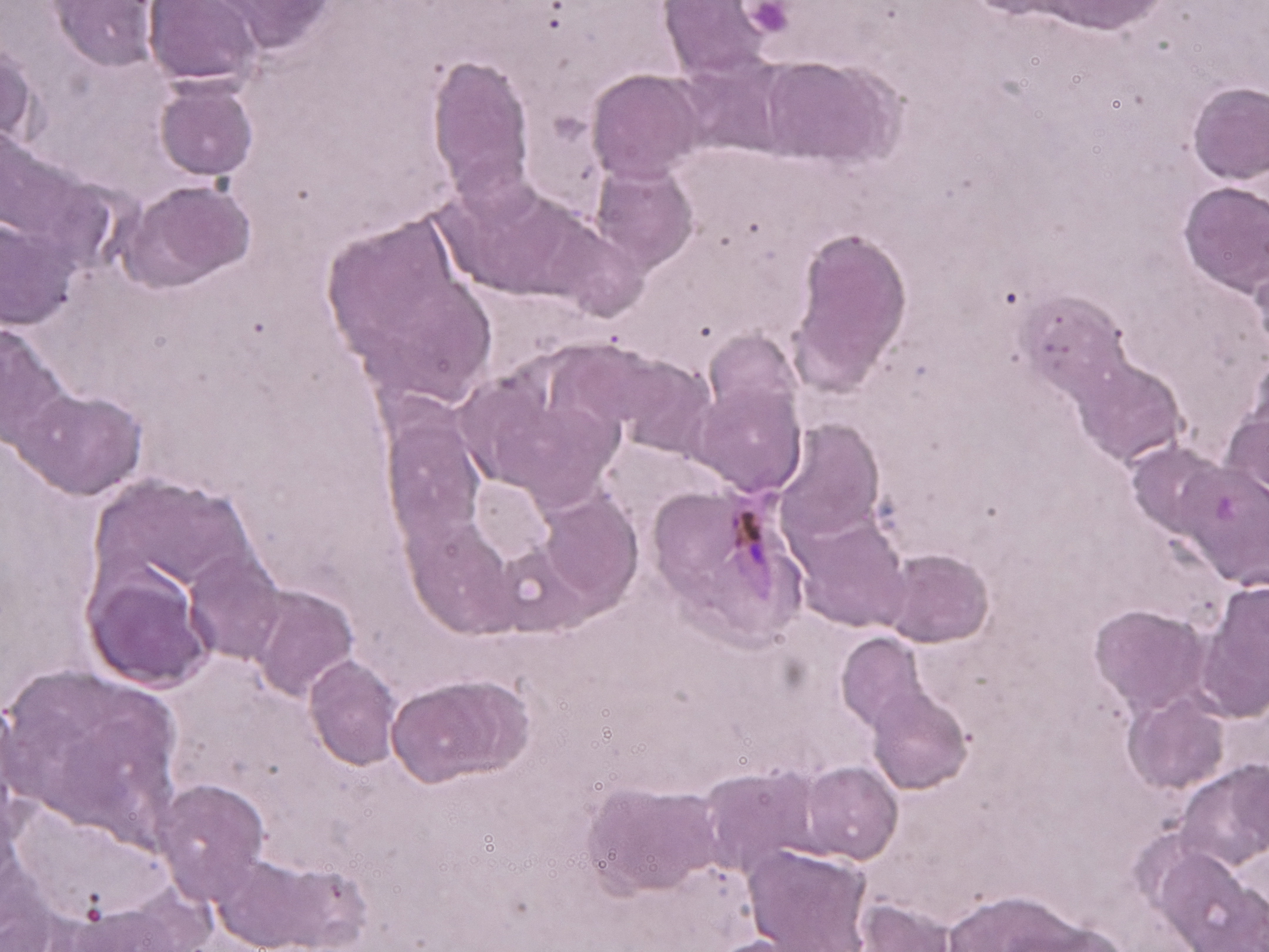
Medical Imaging and Diagnosis

Applications of Artificial Intelligence

Marine Biomass Census

Fish-i is a semi-automated fish population density, species identification, and biomass estimation system primarily used for reef monitoring

Applications of Artificial Intelligence

Speech Recognition

Applications of Artificial Intelligence

Language Translation

Facebook's Artificial Intelligence Robots Shut Down After They Start Talking to Each Other in Their Own Language
http://www.independent.co.uk/life-style/gadgets-and-tech/news/facebook-artificial-intelligence-ai-chatbot-new-language-research-openai-google-a7869706.html

Other Applications of Artificial Intelligence

Robotics

Game Playing

Logistics Planning

Some applications of AI you will implement in this course

Path-finding
Document Classification
Spam Filtering
Emotion Detection on Voice
Facial and Pose Recognition